合力“制”排丨陶人川教授团队:口排的危害,我们真的了解吗?

血液时讯 发表时间:2026/2/6 17:00:26

前言:在异基因造血干细胞移植(allo-HCT)取得长足进步的今天,慢性移植物抗宿主病(cGVHD)已成为影响长期生存者生活质量乃至预后的核心挑战。其中,口腔cGVHD(俗称“口排”)因其高发性、隐匿性和深远影响,尤需临床医生投以更多关注。广西医科大学附属口腔医院陶人川教授团队在国内最早进行口腔cGVHD研究1,并参编人卫版全国统编教材《口腔黏膜病学》第六版中口腔苔藓样损害(口腔cGVHD为其中一型)章节,其诊疗水平与研究深度均处于国内领先地位。本期,陶人川教授带领的口排诊疗团队将详细介绍口排的临床表现、多维危害与识别要点。


PART.1

口排:并非罕见的身心损害


cGVHD不再单纯以移植后100天来划分,而是根据临床表现界定,最早可出现在移植后2个月2,其中45%~83%的cGVHD患者会出现口腔受累,而约20%的患者其cGVHD仅单独表现在口腔3。口腔cGVHD可累及口腔任何部位的黏膜,其特征性表现为口腔苔藓样损害——黏膜上出现网状或树枝状白色条纹4-5,外观类似植物苔藓而得名。在此基础上,病变可表现为黏膜红斑、糜烂、溃疡、假膜形成、萎缩,并伴随小唾液腺囊肿5。患者的主观症状多样,包括但不限于疼痛、口干、味觉改变以及对辛辣、酸性食物的敏感,晚期可出现张口受限6。这些表现并非孤立存在,而是共同构成了一张严重影响患者身心健康的网络。


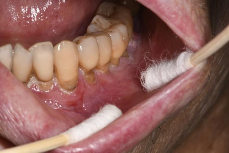
溃疡形成及苔藓样损害(图片源自陶人川教授团队)


PART.2

多维侵蚀:从生活质量到生存威胁


口腔作为消化、言语、社交的第一门户,其功能障碍的影响是全局性的。口腔cGVHD通过对黏膜上皮、唾液腺及黏膜下结缔组织的三重打击,对患者健康及日常生活造成深远危害。


1、疼痛与出血


黏膜的炎症、糜烂与溃疡是疼痛的直接来源,约96.2%的口腔cGVHD患者主诉疼痛7,严重干扰咀嚼、吞咽和言语功能。当溃疡累及唇部等血管丰富的区域时,易导致反复出血,进一步加剧患者的身心负担。研究显示,影响患者口腔健康相关生活质量(OHRQoL)的主要因素是口腔疼痛与敏感症状,而非美国国立卫生研究院口腔黏膜评分量表(NIH OMS)8,提示患者的痛苦感受可能远超临床体征的“直观表现”。


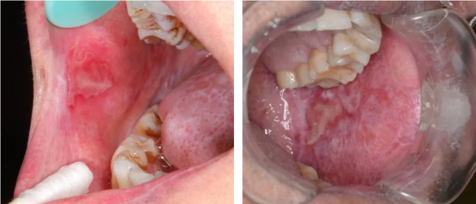
cGVHD口腔表现:红斑、苔藓样损害、溃疡及假膜形成(图片源自陶人川教授团队)


cGVHD黏膜出血表现(图片源自陶人川教授团队)


2、口干与吞咽困难


当cGVHD累及腺体,导致类似干燥综合征的腺体萎缩和功能障碍时,患者会出现唾液分泌质与量的双重下降3、5。据统计,约65.4%的患者受口干困扰7,唾液缺失不仅导致口腔黏膜干燥、灼痛,更使得吞咽食物困难,严重者可导致营养摄入不足和体重下降。唾液保护功能的丧失,直接增加了猛性龋和口腔念珠菌病的风险5。此外,累及口腔小涎腺导管可导致导管阻塞,进而在黏膜表面形成小涎腺囊肿,多见于硬腭后部,亦常伴疼痛或咀嚼、吞咽不适9-10。


口干表现(图片源自陶人川教授团队)


黏液囊肿表现(图片源自陶人川教授团队)


3、张口受限与味觉障碍


黏膜下组织的进行性纤维化(硬化),可导致组织弹性丧失,引发渐进性张口受限,不仅限制饮食选择,更使得日常口腔卫生维护和必要的牙科治疗变得极其困难5。同时,舌乳头萎缩导致的味觉减退或异常,与口腔敏感、疼痛叠加,使“吃饭”变为折磨,严重影响食欲与情绪。


口周硬化与张口受限表现(图片源自陶人川教授团队)


4、牙周与牙齿


口腔症状共同导致了一个恶性循环:因疼痛而畏惧清洁,因张口受限而清洁不到位,因口干而失去唾液的自洁与保护,导致牙周炎症加重和龋齿5、11。口腔健康状况的急剧恶化,反过来又加重了感染风险和全身负担。


龋齿表现(图片源自陶人川教授团队)

5、癌变风险


持续的慢性炎症与长期免疫抑制状态,为恶性转化创造了温床,是口腔cGVHD最严峻、最需警惕的长期危害。口腔cGVHD已被世界卫生组织列为口腔潜在恶性疾患12。异基因HCT受者,特别是cGVHD患者,继发性口腔鳞状细胞癌的风险是普通人群的7-16倍,且风险随时间推移持续累积13。癌变早期可能无症状,极易被忽视。因此,对任何可疑的、持续不愈的黏膜改变,应及时进行活检以排除恶性转化13。


口腔内鳞状细胞癌(图片源自陶人川教授团队)14


PART.3

总结:口排危害大,重视早筛早诊,践行多学科守护


综上所述,口腔cGVHD绝非一个局限于口腔的“小问题”。它是一个从进食、言语等基础功能到心理健康,从局部感染到全身营养,最终直达生存威胁的全身性疾病在局部的集中体现,其危害是立体、渐进且严重的。唯有提高认知,通过将1-2周(有症状患者)、1-3个月(症状稳定后)或3-6个月(无症状患者)的口腔复查等常规、系统的评估整合进移植后随访体系,并积极与多学科团队协作,才能真正为患者的长期高质量生存扫清障碍。


专家简介

陶人川 教授

广西医科大学附属口腔医院

博士,二级教授,主任医师,博士生导师

广西医科大学附属口腔医院副院长

任中华口腔医学会理事

中华口腔医学会口腔黏膜病学专业委员会副主任委员 

广西口腔医学会副会长

《中华口腔医学杂志》等杂志编委

广西十百千第二层次人选

广西医学高层次学科带头人 

国际牙医师学院Fellow,先后留学美国和法国,主持国家自然科学基金课题7项,获广西科学技术进步奖二等奖等奖项6项,参编教材及专著7部。


梅国城

广西医科大学附属口腔医院

广西医科大学附属口腔医院 牙周黏膜科 主治医师

毕业于四川大学华西口腔医学院

主要从事口腔黏膜病和牙周病常见病、罕见病的临床诊疗和教学工作

现任中华口腔医学会广西分会牙周病学和口腔黏膜病学专委会青年委员

参与多项国家级和厅局级项目研究,以第一作者发表论文4篇,参与的课题项目获自治区级教学成果奖三等奖1项、广西卫生适宜技术推广奖2项,

现阶段主要的科研方向是:异基因造血干细胞移植后口腔cGVHD的诊断和治疗


参考文献:

1. 陶人川,杨亦萍,肖丽婷.异基因造血干细胞移植术后口腔慢性移植物抗宿主病一例[J].中华口腔医学杂志, 2009, 44(10):2.doi:10.3760/cma.j.issn.1002-0098.2009.10.017.

2. Demarosi F, Lodi G, Carrassi A, et al. A (2005) Oral malignancies following HSCT: graft versus host disease and other risk factors. Oral Oncol 41(9):865–877. doi:10.1016/j.oraloncology.2005.02.001

3. Fall-Dickson JM, Pavletic SZ, Mays JW, et al.. Oral Complications of Chronic Graft-Versus-Host Disease. J Natl Cancer Inst Monogr. 2019 Aug 1;2019(53):lgz007. doi: 10.1093/jncimonographs/lgz007.

4. The American Academy of Oral Medicine官网:https://www.aaom.com/oral-lichen-planus

5. Zadik, Y., Raber-Durlacher, J.E., Epstein, J.B. et al. MASCC/ISOO Clinical Practice Statement: Management of oral manifestations of chronic graft-versus-host-disease. Support Care Cancer 32, 546 (2024). doi:10.1007/s00520-024-08686-x

6. 陶人川,肖丽婷,赖永榕.慢性移植物抗宿主病口腔表征的临床及诊断分析[J].临床口腔医学杂志, 2011, 27(1):4.doi:10.3969/j.issn.1003-1634.2011.01.010.

7. Scaraficci, A.C., Fernandes, P.M., Abreu Alves, F. et al. Oral manifestations of graft-versus-host disease in patients submitted to allogeneic hematopoietic stem cell transplantation: the experience of a Brazilian Cancer Center . Support Care Cancer 30, 567–573 (2022). doi:10.1007/s00520-021-06349-9

8. Stolze, J., Boor, M., Hazenberg, M.D. et al. Oral health–related quality of life of patients with oral chronic graft-versus-host disease. Support Care Cancer 29, 6353–6360 (2021). doi:10.1007/s00520-021-06197-7

9. Pengpis N, Prueksrisakul T, Chanswangphuwana C. Clinical characteristics of oral chronic graft-versus-host disease according to the 2014 National Institutes of Health (USA) consensus criteria. Med Oral Patol Oral Cir Bucal. 2023 Mar 1;28(2):e167-e173. doi: 10.4317/medoral.25629. 

10. Bassim CW, Fassil H, Mays JW, et al. Oral disease profiles in chronic graft versus host disease. J Dent Res. 2015 Apr;94(4):547-54. doi: 10.1177/0022034515570942. Epub 2015 Mar 4.

11. Alexa M G A, Laheij,Eduardo Rodrigues, et al. Oral Chronic Graft-versus-Host Disease and Oral Health after Allogeneic Hematopoietic Cell Transplantation - What the Care Team Needs to Know.[J] .Transplant Cell Ther, 2024, 30: S548-S558.doi:10.1016/j.jtct.2024.07.006

12. Warnakulasuriya S, Kujan O, Aguirre-Urizar JM, et al.. Oral potentially malignant disorders: A consensus report from an international seminar on nomenclature and classification, convened by the WHO Collaborating Centre for Oral Cancer. Oral Dis. 2021 Nov;27(8):1862-1880. doi: 10.1111/odi.13704. Epub 2020 Nov 26. 

13. Raber-Durlacher, J.E., Treister, N.S., Zadik, Y. et al. MASCC/ISOO Clinical Practice Statement: The risk of secondary oral cancer following hematopoietic cell transplantation. Support Care Cancer 32, 545 (2024). doi:10.1007/s00520-024-08685-y

14. Liu Z , Peng Y , Yong X ,et al.A case report of secondary oral squamous cell carcinoma after allogeneic hematopoietic stem cell transplantation - ScienceDirect[J].Oral Oncology, 109[2026-02-02].doi:10.1016/j.oraloncology.2020.104629.


免责声明:该信息仅作医学和科研参考,赛诺菲不建议以任何与您所在国家所批准的处方信息不符的方式使用本产品,本材料仅供医疗卫生专业人士使用。

审批编码:MAT-CN-2601109-V1.0-2026.02

版面编辑:张冉   责任编辑:王一铭
本内容仅供医学专业人士参考
相关搜索:  干细胞移植

发表评论

提交评论
  • 相关推荐
  • 学术领域